A Permanent Solution for Yellow Teeth
KöR Whitening.
The KöR Whitening System is designed to reduce the common discomfort of whitening at the dentist while delivering superior results through KöR’s unique formulation and system. This means you can expect a stain resistant smile at least 16 shades brighter than what you could achieve with an “off the shelf” home whitening kit.
The KöR Whitening System uses custom molds designed specifically for your teeth. The trays are thin and fit to the contour of each of your teeth so the whitening solution doesn’t leak into your mouth. That means little to no discomfort while your smile is being improved in the comfort of your own home!
KöR Whitening System Keeps Your Teeth Whiter Longer!
While other whitening systems are designed to simply change the color of your teeth, the KöR Whitening System does more. This System is designed to restore your teeth’s ability to absorb oxygen, thereby dissolving stain molecules already in your teeth and on their surface.
And, with easy periodic home maintenance, the KöR System’s results are permanent, giving you a bright smile you can be proud of for years to come.
For more information about whitening or to set an appointment to discuss your situation, contact us at 303.797.0832.

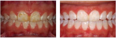
Before and After

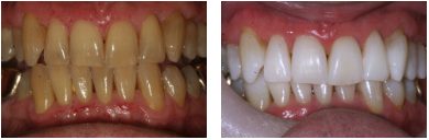
Before and After

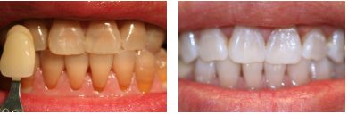
Before and After